再看所谓革命就是杀人.彭德怀黄公略执行苏共指令率红军湘东杀5万

进攻大城市配合苏联
1929 年 10 月,在苏军向东北军大举进攻的背景下,中共中央发布了《中央通告第 41 号:中东路事件与帝国主义国民党进攻苏联》、《中央通告第 42 号:动员广大群众反对进攻苏联》、《中央通告第 49 号:拥护苏联与反对军阀战争》、《中央通告第 60 号:执行武装保卫苏联的实际策略就是全国的武装暴动》,要求在城市举行总同盟罢工和武装暴动,要求红军进攻大城市。中共中央从上海派到各根据地的代表并非只带着“武装保卫苏联”的指示信,更重要的是带着远东局提供的金钱。
12 月,苏军在满洲击败了中国东北军,迫使东北当局签定屈辱条约,不仅恢复霸占中东铁路地区,还多占了黑龙江主航道中国一侧的黑瞎子岛等岛屿。中东铁路战争获胜后,斯大林没有命令中共红军停止进攻大城市。在西方资本主义世界爆发空前经济危机的形势下,他认为资本主义灭亡阶段到来,指示各国共产党开展世界革命。
根据指示,李立三于1930年2月主持发出了《中共中央接受国际1929 年 10 月26 日指示信的决议》和《中央第 70 号通告:关於目前政治形势与党的中心策略》,要求各地中共发动工人罢工、地方暴动及策动国民党军兵变。5 月,中共中央在上海召集了全国苏区代表大会和各红军代表大会,传达了共产国际关于集中红军进攻中心城市的指示。6 月,李立三在上海再主持召开了政治局会议,作出了《新的革命高潮与一省或几省的首先胜利》的决议,提出“会师武汉”、“饮马长江”的口号,要求全国红军进攻中心城市。
会后,中国各地暴动和红军向国民政府的进攻一浪高一浪。在满洲,新任中共满洲省委书记刘少奇到奉天后立即部署满洲暴动。长期遭受俄人欺压的东北人民对中共在中苏战争中号召暴动保卫苏联一致痛恨,满洲省委也觉得指示难以执行,被迫将暴动扰乱东北军后方的计划搁置。在陕西,中共陕西省委根据中央“武装保卫苏联”的指示,将暴动军改名为“西北反帝同盟军”。在江西和闽西苏区,中共将“武装保卫苏联”的口号印在了苏区出版物和钞票上以示支持苏俄。
红军进攻大城市的最大行动是红五军攻打长沙。
奉中共中央指示,红三军团总指挥彭德怀于1930年7月率第三军(黄公略),
第五军(彭兼)及第八军(何长工)将政府军何键部逼退到益阳,占领了
长沙。入城后,红军纵火焚长沙各政府机关,向商会勒索 70 万元。[ 21 ]
8月1日,红军宣布成立李立三任主席(未到)的苏维埃政府和滕代远任
主席的湘鄂赣边工农兵暴动委员会。 8 月 4 日,黄、彭在何键反攻压力下
率军携夺取的大批物资退出长沙。

黄公略
红军残酷烧杀不是自中东路战争开始,而是八七会议以来执行共产国际
“残酷报复国民党清共”的指示没有断过。“ 彭(德怀)、黄(公略)暴动军
在湘东两年,杀人五万,每破一城,尽掠富农商人钱财。夺财的主要手法
是抓捕商家,施以酷刑,通知家人限期勒赎。并且,连黑道规矩也不讲,
不缴赎款杀,缴到赎款亦杀。
在长沙破城时,曾有一富孀之子为黄公略所执,绑之堂前树上,以荆棘状
之铅丝鞭挞之,传令以十万为代价,款不到则鞭不停,富家子哀号转侧,
血流满地,其母披发奔走,竭一日夜之力,勉足十万亲捧至总司令部赎子,
其子已成血肉縻烂气息早绝之血尸矣!富孀哀号一声亦死。
黄除杀人外,又好色纵淫,所掠大家闺秀无幸免,拒之立以大刀碎割,
顺之数日后赏其卫士为公妻,卫士人多,往往不终朝已蹂躏死。黄之残杀,
比诸张献忠仿佛似之。”[ 22 ] “赤匪此番入城,挟其马变(马日事变)以后之
怨毒,对长沙人肆行报复,而城内居民,因事前丝毫不知匪来如是之快,
除一部分得信较早之绅富,仅以只身逃出西南两门外,十分之八留在城内。
28 日满城起火,盖赤匪对长沙绅富及党政机关服务人员之住址,早有调查,
因此分头放火,抢掠财物,见人即杀。而杀人方法,亦倍极惨毒,有生剥
其皮者,有投之火中者,以大刀砍杀者尚属优待。杀人最多者为梭标匪,
且此时匪众多极,流氓地痞无知贫民错杂其间,大多以红布围颈,手持
刀枪之属,如有荷一步枪者,已属指挥人员矣。计自28日至8月1日,杀人
在 5000 以上,街道河流伏尸为满。” [ 23 ]
彭德怀、黄公略、孔荷宠在湘东烧杀之时,毛泽东率红军攻占了江西吉安,
实施同样的红色恐怖。在占领吉安的 45 天中,红军每天贴出杀“反革命”的
布告,在小县城吉安杀人万余,屠城之惨烈直如张献忠屠川。
多年后,人们从革命党所写的史书中读不到湘东红色恐怖,读不到吉安
大屠杀,只读到毛泽东率红军攻占吉安,扩大了湘赣边界红色区域,只
读到“十万工农下吉安”的豪迈词句,只读到何健派人挖了黄公略的祖坟,
杀害了毛夫人杨开慧。这种服务一党利益的宣传是革命党史书的共同特点。
红军彭德怀、黄公略、毛泽东部执行报复指示的一项行动是对国民党军人
家属大规模屠杀。北洋政府军在“讨赤”中并未屠杀共产党人的家属,例如
张作霖抓捕李大钊夫妇后将李妻赵纫兰释放。国民党“清共”时也未对共产党
人家属报复,例如主政湖南的何键对滥杀地主的农民武装报复时并未报复
农会骨干的家属,并未为难毛泽东妻子杨开慧。毛泽东领导屠杀时,杨带
三子住在长沙平安无事。
由于彭、黄红军在长沙期间杀害国民党军人家属过于惨烈,政府军将士
一致要求对共产党家属同样报复。何键不想杀害湖南名人之女,但也不能
拒绝国民党军将士的一致要求,于是想了个网开一面的办法,提出只要
杨开慧声明与毛泽东解除婚姻关系即可免死。杨开慧拒绝作此声明,
被判死刑。
这时,杨开慧已对共产主义感到幻灭。她写道:“或许有一天我要叫着,
我从前的观念是错了!唉!杀,杀,杀!耳边只听见这种声音。人为什么
这样狞恶!为什么这样残忍!为什么呵???”杨遇难后,毛泽东在给杨家
的信中说“开慧之死,百身莫赎”。应当说,毛泽东此言是真话。
彭德怀攻长沙前曾问毛长沙有无私事要办,实际问毛是否想接杨入苏区。
毛这时在井冈山有了新妻贺子珍,于是将话题岔开。几十年后,拆除
杨开慧的旧屋时从墙缝中发现了杨的一首《偶感》诗。诗中写道:
“天阴起朔风,浓寒入饥骨。念慈远行人,平波突起伏。足疾可否痊,
寒衣是否备。孤眠谁爱护,是否亦清苦。书信不可通,欲问无人语。
恨无双飞翮,飞去见兹人。兹人不得见,惘怅无己时。” [ 24 ]
苏俄不光引入土地革命和农民运动,而且直接操纵着中国的农民运动。广东的农运由共产国际驻广东的代表直接操纵,湖南的农民运动由苏俄驻长沙领事馆直接操纵。1927 年3 月,共产国际召集湘、粤、鄂、赣四省农协代表和河南武装自卫军代表,在湖北省农协办公处举行了联席会议,成立了毛泽东、方志敏、彭湃等十三人为委员的中华全国农民协会临时执行委员会。执委会是苏俄引入中国的概念和产物,成立执委会是苏俄代表的主意,农民运动背后是苏俄的操纵之手。以湖南为例,湘潭、平江、衡阳等十余县均成立了自卫军,农会武装的绝大部分枪支是苏俄领事馆所发放,只有一小部分是从团防局夺取。
在苏俄驻长沙领事馆的操纵和资助之下,湖南农会组织由1927 年1月的200万会员激增至4月底的500多万。 彭湃、毛泽东这两位苏俄顾问选定的广州农民运动讲习所所长分别领导了海陆丰农民运动和湖南农民运动。这两地的农民运动是“国民革命”中农民运动的缩影。这样的农民运动带来的是一片焦土。从“国民革命”中的土地革命,到苏区土地革命,到1947年解放区的土改运动,到中共建国后的土改运动,到人民公社运动,再到文革红卫兵运动,苏俄引入中国赤色革命祸害了中国农村和农民半个多世纪,给中国留下了最残酷血腥的记录。
湖南农民运动 北伐军入湘后,中共按照共产国际中国决议案的要求,在全省开展农民运动,以“一切权力归农会”口号相煽动,指挥农会、农军将地主指为土豪劣绅,没收土地、剥夺其它财产、戴高帽游街、逮捕送监甚至杀害,以及烧屋分地,强奸地主妻女。共产国际代表鲍罗廷介按照列宁的经验培训中共说:“两湖的农民运动太沉静,农民都不愿意起来,我们应该利用地痞流氓来发动群众”。
1927 年 1 月,毛泽东回乡指导运动,指挥利用农村的地痞流氓开展农民运动。他记录农运情况写道:“那些从前在乡下所谓踏烂鞋皮的,挟烂伞子的,打闲的,穿绿长褂子的,赌钱打牌四业不居的,总而言之一切从前为绅士们看不起的人现在有了权,任意给人定罪……将地主打翻在地,
再踏上一只脚,……土豪劣绅的小姐少奶奶的牙床上也可以踏上去滚一滚,动不动捉人戴高帽子游乡……总之为所欲为,一切反常,竟在乡村造成一种恐怖现象。”他表态支持这种颠覆农村秩序的运动,下令将中共湖南省委为约束暴力而逮捕的杀人者全部释放。他在考察报告中写道:“(戴帽子游乡)这种处罚最使土豪劣绅颤栗,戴过一次高帽子的,从此颜面扫地做不起人。”“有一个乡农会很巧妙,捉了一个劣绅来,声言今日要给他戴高帽子,劣绅于是吓乌了脸。吓了他结果又不给他戴,放他回去,等日再戴。那劣绅不知何日要戴这高帽子,每天在家放心不下,坐卧不宁”,他从这样折磨人手段中“觉到一种从未有的痛快”,盛赞农民运动“好得很!好得很!”
3 月,毛泽东发表了《湖南农民运动考察报告》,在其中为农会的烧杀抢掠叫好说:“我这次考察湖南农民运动所得到的最重要成果,即流氓地痞之向来为社会所唾弃之辈,实为农村革命之最勇敢、最彻底、最坚决者”,“踏烂鞋皮的,挟烂伞子的,打闲的,穿绿长褂子的,赌钱打牌四业不居的痞子是最革命的,是革命先锋,所有一切所谓过分的举动都有革命的意义,每个农村都必须造成一个短时期的恐怖现象。”他要求 “有农民运动的各县,梭镖队便迅速地发展,梭镖——一种接以长柄的单尖两刃刀,单相乡一县有十万枝。湖南的革命当局,应使每个青年壮年农民都有一柄梭镖,而不应限制它,以为这是可以使人害怕的东西。若被这种梭镖队吓翻了,那真是胆小鬼!”
在湖南农协第一次代表大会上,他提出“有土皆豪”、“矫枉必须过正,不过正就不能矫枉”的极端口号。在他的推动和苏俄驻长沙的领事馆提供资金支支持下,湖南农会会员迅速发展到了两百多万人,农会暴虐从乡村蔓延到县城,最后发展至到省城长沙屠杀,全省各地暴力猖獗,村庄被烧成废墟,百里无鸡呜,遍地焦土、尸体。很多地方把拥有田地稍多者,穿长衫马褂者一律当作土豪劣绅镇压,在开大会时不问姓名地带高帽游街,在批斗大会上被直接打死,或用梭镖刺死。按照共产国际要求,南方各省的农民运动领导人照搬湖南农民运动经验,也大张旗鼓地鼓动杀人。
4 月,共产国际新任代表罗易(M.N.ROY)来华,传达斯大林指示,要求将农民运动进一步升温。5 月底,中共湖南省委根据罗易和苏俄驻长沙领事馆的指示组织几万人农会武装向长沙进攻。陈独秀认为农民运动已经过激,指示湖南省委停止进攻长沙,提出“党的迫切任务是要纠正过火,节制没收土地的行动”,称“湖南农运不是我们领导的,而是地痞与哥老会所领导”。中共的另一领导人瞿秋白也批评农民运动侵犯到了革命军官的田产。罗易否决中共领导人的意见,向共产国际报告说:“共产党中央委员会非常消极,否决了我镇压湖南反革命的建议。”
斯大林、布哈林严厉批评陈独秀反对农民运动过火是在对抗共产国际决议,赞扬主张暴力的毛泽东。根据斯大林的表态,共产国际在莫斯科发表了毛的《湖南农民运动考察报告》报告。 体现共产革命精髓和游民精神的暴力土地革命需要依靠游民,或曰痞子,日本人策划的辛亥革命依靠这些人组成的会党,苏俄策划的土地革命也依靠这些人。中外革命领袖如马克思、列宁、斯大林、毛泽东,大都与李自成、张献忠、洪秀全一样,从思想到行为属于游民群体。有产者、乡绅和正经农民必然反对杀人夺财的暴力革命,而游民缺乏是非准则、道德底线和同情心,心怀对社会的仇恨和改变社会地位的野心,不会因杀人夺财而感到良心谴责。
从《湖南农民运动考察报告》开始,毛泽东毕生崇尚血腥、暴力,杀人夺财害死人民数以千万计。不仅他如此,他提拔的农民运动讲习所的门生李井泉和吴芝圃后来也成为害死人最多的地方官员。毛泽东代表的痞子农民运动带给中国史无前例的灾难。多年后,他发动文革,将痞子横行的理想世界复制到了全中国。在策划文革时,他坚持痞子最革命的观点说:“勇敢分子也要利用一下嘛!我们开始打仗,靠那些流氓分子,他们不怕死。有一个时期军队要清洗流氓分子,我就不赞成。”[3] 他的农民运动考察报告后来成了红卫兵实施暴行的教材。多年后到韶山参拜毛泽东故居者或许不知,那所地主大宅是毛泽东在湖南农运中一面鼓动斗地主、杀地主,烧地主宅子,一面采取措施保护自家宅子才得以留存下来的。这种保护自家,滥杀他人的作法最好地展现了痞子没有道德底线的特点。
海陆丰农民运动 1922 年,日本留学归来的青年彭湃投身共产革命,在海丰县建立了中国第一个农会,宣布与地主家族决裂,把自家的田契、铺约拿出来当众烧毁,被佃农称为“彭菩萨”。[4] 1924 年,苏俄在广州开办了农民运动讲习所,鲍罗廷任命彭为国民党广东省党部农民部长兼广州农民运动讲习所首任所长。 1927 年,接受了苏俄培训的彭湃回到海陆丰建立了苏维埃。按照莫斯科制定的《关于土地问题决议案》指引鼓动农民杀人说:
“我们目前的任务第一,须把土豪劣绅大地主贪官污吏军阀寸草不留杀个干净;第二,工农阶级武装起来;第三,一切土地分配给农民和革命士兵的家庭耕种;第四,毁灭一切土地契约和债券;第五,一切政权归工农兵代表会”, “需要使之参加破坏和屠杀的行动,使他们不可能后退或开小差。谁不和我们站在一起就是反对我们”; “列宁的法律没有什么详细的,反动的就杀,他的工人农民,不用报告什么工会、农会、政府,直可把土豪、劣绅、地主、资本家杀却”,“准群众自由杀人,杀人是暴动顶重要的工作,宁可杀错,不要使其漏网,将豪绅地主剖腹割头,无论任何反动分子,都毫不客气的就地杀戮,直无丝毫的情感”。[5] 中国的土匪历来有“交投名状”入伙的规矩,“但凡好汉们入伙,须要纳投名状,是教你下山去杀得一个人,将头献纳,他便无疑心”。[6] 彭湃同样规矩,要求加入农会者 “大杀特杀土豪劣绅,杀他个干干净净”。 [7] 按他的要求,农会杀人不是一刀下去就算,而是残酷虐死,将地主和被指为的反革命者大卸八块,烹煮吃掉,其残暴超过了历史上的任何土匪。
“例如捷胜地区的一个地方官被关在一个板箱里锯成一块一块,而行刑者们还不时停下来喝茶休息,以延长其痛苦。” 被卷入农民运动者因参与了杀人放火而恐惧复辟。海陆丰苏维埃要求以更严厉的红色恐怖来防止复辟,在群众大会上公开处决随意指认的反革命,把砍下的人头穿绳挂在讲台,让人们习惯恐怖,要求农民参与屠杀和吃人以鉴别谁是中立和有保留的,将拒绝吃受害者心肝者斥为假兄弟。经过一段时间的恐怖训练,赤卫队员们习惯了执
行杀人任务。那个捷胜的官员曾处决 100 多位农民。在处决捷胜农会主席时,他的父亲和兄弟被逼亲临刑场,参与杀害,再被逼迫食自己兄弟或儿子、父亲的肉。彭湃和他的共产主义同志们就这样成功煽动起了阶级仇恨。红色恐怖使超过五万居民从这两个县逃到香港、汕头和广州。”[8]
8 月,共产国际召开“八七会议”,指示中共 “极端严厉、绝无顾惜地杀尽豪绅反革命派”。根据莫斯科的指示,中共中央下达了《关于湘鄂粤赣四省农民秋收暴动大纲》,在其中要求“尽量杀戮土豪劣绅和反革命派”、“暴动杀尽豪绅反动的大地主”。根据中央大纲,彭湃提出“起义纲领”为:“籍国民党者杀,反土地革命者杀,曾任文武官员者杀,曾充民团警兵者杀,曾充反动政府差役者杀,一切土豪劣绅者杀,讨债讨租者杀,还债还租者杀,藏匿契据者杀,立妾蓄婢者杀,不服兵役者杀,当堪舆命卜者杀,当巫婆媒婆者杀,吸鸦片者杀,盲目者杀,麻风者杀,残废者杀,老朽不能操作者杀,信仰一切宗教者杀。”[9]
11 月初,彭湃率领农民武装占领了海丰、陆丰两县城。11 月 7 日,农会按共产国际规定开大会庆祝苏俄国庆。会场布置为一片红色,悬马克思、列宁像,“在开会前先枪决八九个反动派……在会场焚毁田契多达十余担”。[10] 彭湃在会上宣布,建立以莫斯科为“赤都”的苏维埃政府,宣布将城中心的孔庙更名为有俄式花俏大门的“小莫斯科红宫”,东面广场命名为“小红场”,宣布建立苏俄模式的赤卫队、先锋队和共青团等组织,颁布海陆丰苏维埃的《没收土地案》和《杀尽反动派案》。他的演讲和政策充满了这样的语言:
“反动的就杀,直可把土豪、劣绅、地主、资本家杀掉”, “准群众自由杀人。杀人是暴动顶重要的工作,宁可杀错,不要使其漏网”,“将这批豪绅地主剖腹割头,无论任何反动分子,都毫不客气的就地杀戮,直无丝毫的情感”,“把反动派和土豪劣绅杀得干干净净,让他们的鲜血染红海港,染红每一个人的衣裳!”彭湃不愧为苏俄教官的好学生,将农民运动讲习所“从肉体上消灭地主富农”的教唆发挥得登峰造极。他效法张献忠发布“七杀令”的作法,在《海陆丰工农兵代表大会决议案》中规定,
凡是贪官污吏、土豪劣绅地主,以及侦探、宣传员、警察、保安队、通信员与在敌各机关办事者,一律拿着枪决,[11] 要求每位海丰苏维埃代表完成杀二十人的指标,下令将一些未按时缴地契的农民和执行烧杀政策“不坚定”的农运干部杀掉,然后组织农会会员们一起吃人肉心肝。在这样的农民运动中,苏维埃政权将 “小红场”变成了屠宰场,地主和所谓反革命被割头剖腹,直杀得“在海陆丰境内没有了豪绅地主的踪影”。[12]
投身共产革命前曾任海丰县教育局局长的书生彭湃经苏俄培训后变成了杀人狂,领导海陆丰苏维埃政权在农民运动中屠杀了近两万人。这时农民们才知道,投身革命后回乡的不是“彭菩萨”,而是“彭魔王”。彭湃领导的广东农民运动让莫斯科感到满意。布哈林在 12 月的苏共第十五次代表大会上向苏共中央委员们宣布:中国广东省有五个县建立了苏维埃政权,在那里真正发动了消灭地主的斗争,有三、四百个地主被砍了脑袋,在有几百万居民的地区内,地主已被肉体消灭。”[13] 这里,布哈林显然不清楚广东农运真实的杀人数字。
1928 年,彭湃建立的海陆丰苏维埃政权在国民党军“清共”行动中被消灭。然而,杀人农运造成的仇恨无法消除。四十年后,当年被害者的后代借文革运动复仇,按照当年农运的办法,将彭湃的儿子彭洪、侄儿彭科、堂弟彭劲、堂侄彭株等一众亲属,以及当年杀人魔王的后代百余人杀害,按当年农会的作法,将彭湃亲属的头颅挂在城东门的电线杆上示众,残酷殴打了将800 多当年农民运动中的杀人者和他们亲属、后人,将其中不少人打成残废,对数千彭湃亲属、战友及其后代属展开血腥迫害。[14] 彭湃认为他有权杀一切他认为反动的人,被害者后人杀他的亲属符合彭湃的逻辑,也符合共产革命的逻辑。共产党人当然不承认革命的祸害,文革后的广东省委书记习仲勋将报复彭湃后人事件定性为“是林彪、四人帮篡党夺权阴谋的一个组成部分,是一次反革命事件。”这种说法显然自欺欺人。
如今,中共将当年的“红宫”屠宰场辟为革命纪念馆、全国重点文物保护单位和广东省爱国主义教育基地,在纪念馆中立了彭湃的汉白玉雕像,在旁边按照当年海丰县工农兵代表大会场景排列苏维埃代表们的坐椅,陈列彭湃和农民运动骨干们用过的大刀、长矛、枪炮,组织青年学生们到这里接受革命教育。像中共在各地建立的无数革命纪念馆中一样,“红宫”纪念馆隐瞒当年农会杀人、吃人的革命罪恶,把“彭魔王”宣传成了“彭菩萨”。
八七会议
1927 年8 月7日,罗明纳兹和纽曼召集在武汉的部分中央委员举行了中共中央紧急会议(八七会议)。会议的主要内容是传达共产国际的杀人放火命令。中山舰事件后,斯大林减少了对国民党的援助,四一二事变后,斯大林停止了对“南北二赤”的金钱武器扶植。冯玉祥附俄是为了金钱军火,对不提供援助的苏俄立即背离,接受蒋介石收买后声明加入“清共”。斯大林对长期接受扶植的蒋、汪、冯在壮大后同时决裂无比恼火,要求中共以最激烈的行动报复国民党“清共”、“分共”。
根据斯大林的要求,罗明纳兹在八七会议上命令中共“极端严厉、绝无顾惜地杀尽豪绅反革命派”。会后,取代陈独秀的新任中共傀儡领袖瞿秋白主持下达了《中共中央关于湘鄂粤赣四省农民秋收暴动大纲》,在其中要求“尽量杀戮土豪劣绅和反革命派”、“暴动杀尽豪绅反动的大地主”,[5]
瞿秋白另下达指示给福建省委、两湖省委,要求“在暴动中应毫不顾惜的
没收地主土地,杀土豪劣绅,杀政府官吏,杀一切反革命”,“尽量施行
红色恐怖”,“在极短的时间内组织两湖工农大暴动,实行红色恐怖”。
根据中共中央要求,湘鄂粤赣四省的中共省委分别下达了烧杀令。其中,
湖南省委提出暴动口号为:
“焚毁整个城市”、“豪绅的走狗都是在杀之列,我们并不顾恤!
”“烧!烧!烧!杀!杀!杀!”; 中共湘南特委要求“坚壁清野,烧尽郴宜
大道两侧五里内民房”,“盲目烧杀”、“使小资产阶级变无产,然后强迫
他们革命”;[6]
中共广东省委发出指示函说:“我们不特可没收他们的土地,并且要准
农民去杀戮他们,不可恐怕冤枉和残忍”;[7] “大杀土豪劣绅,务使其
寸草不留,宁枉杀不枉纵”;[8]
中共广东北江特委提出以“杀人、放火、抢物”为暴动原则和革命目标,
提出“鼓励自由杀人”和“奖励焚烧房屋”,“把市镇的商铺焚烧殆尽”。
北伐战争开始后,共产国际要求开展的工农运动,土地革命,反帝运动
已经将湘鄂粤赣四省祸害得到处有杀人放火了,八七会议使祸害再升级,
湘鄂粤赣四省委指挥大规模烧杀,策动了百余起暴动。
在这样的情况下,中共中央仍嫌四省执行八七会议指示行动不够激烈,批评各省委说:“除海陆丰外,各地农村暴动大多只做到打豪绅,烧房屋,进一步做到烧田契债券,而于没收土地的工作则一点没有做。”[9] 大规模的烧杀引发了众多农民反对共产党的暴动。例如,在湘南特委动员农民烧杀的大会上,到会的几千农民感到如此没了活路,立即举行了反共暴动,把中共郴县负责人杀得精光。随后永兴、耒阳的农民发起了反共大暴动,扯下赤色袖箍、领巾,打出白旗。中共急调其它农民武装镇压、屠杀暴动农民,对农民运动忍无可忍的国民党军再来镇压农民武装。[10]八七会议后几个月内,华南四省遍野横尸,处处焦土。
共产国际在华召开的八七会议是中国历史上耻辱和灾难的一页。后人难以想象,俄人在华召集开会,公然命令中国革命党杀人放火,给整个华南带来血腥恐怖。此后,中共在党史中只提八七会议“纠正陈独秀的机会主义错误”,完全不提这一会议主旨——部署杀人放火,以及会议结中国带来的灾难。如今,中共仍在以这样的革命宣传欺骗着后辈青年,仍然在以各种方式纪念着这次灾难性的会议。
在队伍疲弱的形势下,毛泽东决定率部到井冈山山寨入伙,利用现成的
土匪山寨发展,徐图反客为主。10 月 3 日,毛泽东在宁冈县古城镇召开
前委扩大会议(古城会议),说服农民武装骨干们接受了落草计划。随后,
他派人以百条好枪为见面礼去报山门。
毛泽东从《水浒传》等江湖小说中学得的手段在与土匪打交道时大派用场,
但成功报山门的主要因素不是因为毛的谋略,而是苏俄军火,是苏俄领事
馆提供的枪支。中共后来在党史中只宣传毛泽东创建井冈山红色根据地,
隐瞒了成功落草的决定性因素。
没有苏俄驻长沙领事馆提供的暴动金钱和武器,土匪山寨不会接纳流窜
到此的另一伙人,毛泽东就不可能创建红色根据地。分别盘踞茨萍、
茅萍的王佐、袁文才接纳毛泽东入伙不是因为毛的祸福与共保证,不是
因为毛率领的几百号人,而是因为毛分别献上的每处两百条好枪的进山
礼。王、袁不缺乏人手,不缺乏大刀长矛,而是见好枪而动心,决定迎毛
上山。事实上,不仅是井冈山,所有红色割据都是共产国际,即苏俄的
钱和枪所创建。这一点是如今遍地的红色纪念馆需要隐瞒的。
1928 年 2 月 18 日,毛泽东指挥队伍攻占了宁冈县城,随后召开万人大会,
以三叉木架现场刺杀了被俘的县长张开阳和乡绅郭伟谦。此后,“万人
大会”现场杀人成了井冈山红色割据地区的常见场面。在建立遂川县红色
政权时,毛泽东为庆祝大会写的对联是:“想当年剥削工农,好就好,
利中生利;看今日斩杀土劣,怕不怕,刀上加刀”。在毛泽东讲话之后,
乡绅郭渭坚被“刀上加刀”地处死。
书生毛泽东要求民众参加大会,观看杀人。他表现出的残忍、恐怖让袁、
王感到甘拜下风。二人决定推毛泽东坐山寨的第一把交椅。接受推举主持
山寨后,毛泽东指挥队伍在山寨周边地区打家劫舍。他告诉队伍说:
群众听不懂“土豪”是什么意思,说“财东”、“有钱人”他们就懂了。
井冈山原山寨寨主王佐、袁文才没有想到,他们贪图两百条好枪引来了
杀身之祸。不久,共产国际在莫斯科为中共制定的《苏维埃政权组织
决议案》(中共第六次全国代表大会文件之一)中要求,在红色武装站稳
脚跟后要肃清红军中的土匪。据此,中共派彭德怀将王、袁杀害
( 1950 年代中共追认王、袁二人为革命烈士 )。
1927年11 月28 日,共产国际代表纽曼携美元巨款到达广州。他否决了
“联张”计划,要求执行莫斯科的指示,单独发动广州暴动。12 月 10 日,
斯大林复电纽曼,最后批准了暴动计划。
12 月 11 日晨,纽曼为首的两百多名苏俄外交官及军事人员率叶挺、蔡升熙、
张太雷、恽代英、叶剑英、杨殷、周文雍等中共党人发动了广州暴动,
指挥从张发奎军中拉出的第四军教导团、警卫团一部及工人赤卫队、农民
武装夺取了北门军械库的武器弹药,歼灭了国民党军千余人,再占了中央
银行和省政府,在屋顶挂起镰刀斧头红旗。在进攻南堤的第四军军部时,
暴动军遇到了强大的抵抗,双方伤亡惨重。12 月 12 日,暴动指挥部在
第一公园召开大会,宣告成立广州苏维埃(广州公社),宣布人员组成为
苏维埃委员长苏兆征(因病未到职,由张太雷代理,张翌日在暴动中
身亡),人民外交兼内务委员黄平、人民肃清反革命委员杨殷、劳动委员
周文雍、土地委员彭湃(赵自选代理)、司法委员陈郁、经济委员何来,
宣布通辑蒋介石、汪精卫、李济琛、张发奎、黄琪翔、朱晖日、陈公博、
顾孟余等国民党要人。
1927 年 12 月, 广州暴动时,有一件最足说明中共之残暴:原来
我军各部回师广州时,共党眼见大势已去,竟不顾广州市全体人民
之生命财产,欲将全广州市付之一炬,当时他们已经在南堤珠光里
人力车工会集合了五六百人力车工人,各携五加仑汽油一小桶,
火柴一盒,报纸一捆,准备在各处放火,把全广州市化为灰烬。
幸我军及时赶到,才制止了这一暴行,广州市才免于浩劫。” [ 14 ]
在蒋、汪合作之下,张发奎调兵返穗,黄绍竑率军东进,粤军第五军军长
李福林率军从河南岸渡河,合力镇压暴乱。12 日晚,暴动指挥部准备
逃跑,下令四处纵火,将广州变成一片火海。13 日,第四军(军长
黄琪翔)、第五军主力进入广州,在广州工人自发组织的铲共义勇军的配合
下围剿共产党暴动军。14 日,共产党暴动军退出广州城,向东江北江方面
败逃,张发奎下令将苏俄驻广州副领事哈西斯(A. I. HASSIS,郝西诗,霍希
斯)及领带馆外交人员乌科洛夫、波波夫、伊凡诺夫、玛卡罗夫等五名
暴动指挥者以及共产国际调来参与暴动的百余名朝鲜人枪毙(纽曼等人
潜逃)。短短几天苏维埃暴乱,苏俄指挥的暴动军以反革命罪名杀害了数千
国民党军政人员、他们的家属及市民,共产党及工人纠察队、农民自卫军
也伤亡数千人,参予暴动的两百多俄人半数伤亡,广州城被焚得到处废墟,
大街小巷死尸遍地,尸臭弥漫全城,成了恐怖之城。公安局的临时清洁队
载出数十车尸首运往郊外埋葬。[ 15 ]
在莫斯科,当广州暴动指挥部放火逃亡时,莫斯科仍在为广州暴动叫好,
共产国际发表了《为广州暴动告全世界工人兵士及被压迫民众宣言》,
声称“全世界的无产阶级赶快起来,赞助中国的苏维埃,在广州这个革命
战斗的光荣城市,工人和农民已经取得了政权。苏维埃旗帜,这面革命
红旗飘扬在华南都城的上空。广州工人史无前例的英雄业绩是极其伟大
而真正是具有世界意义的行动”。[17] 得到南京国民政府的断绝邦交令后,
共产国际联共第十五次代表大会决议为广州暴动辩护说:“中国革命尽管
遭到暂时的失败,特别是广州苏维埃起义遭到镇压,但它仍然存在着,
并在积蓄力量,以便重新展开全线进攻。中国革命运动必将在新的基础
上重新高涨起来。” [ 18 ]
广州民众两度见证了俄人主使纵火屠城:1924 年鲍罗廷主持的西关纵火屠城和
1927 年苏俄驻广州领事馆主持的西关及广州各处纵火屠城。两次大火都是彻夜
燃烧,将广州城照得如同白昼,留下一片片废墟。两次广州大火是二十世纪中国
革命祸害中国的写照。纵火之外,苏俄报复国民政府对苏断交,将在俄的大批
国民党员清洗或送去了劳改营,将在苏俄留学蒋经国等一批国民党元老子女扣为了
人质。几年后,苏俄在江西扶植建立了苏维埃国,特地以被国民政府枪决的广州
暴动首领,苏俄驻广州副领事郝西诗的名字命名红军大学,显示出苏维埃国的附庸
性质。
三十年后,参与广州暴动的叶剑英元帅在一篇文章中称:“必须指出:帝国主义的
武装干涉,使起义军处于不利的地位,英、美、日等帝国主义,除了出动炮舰不断
向我市区轰击外,还派海军陆战队在长堤一带登陆。法帝国主义也参加了这一
干涉,在帝国主义军舰掩护下,市内反革命部队向我展开了猛烈的反扑,广州郊外
的敌人,也准备前来增援。” [ 19 ]

率军平定广州暴动的张发奎抨击叶文说:“叶剑英这一段话,从头
到尾,可以说全是谎话。因为英、美、日、法等国当时根本没有
用军舰或海军陆战队帮助我们,当然更谈不上替我军作掩护。
我记得十二月十一日晨,我准备派人到沙面用无线电命令广州外围
各部队回师勘乱,但当时我们就没有办法进入外国人住的沙面去
拍发无线电报,还是托商人谭礼庭先生出面才拍发出去的,由此
可见,我们当时并没有得到什么外国的帮助。” [ 20 ]
叶剑英的“帝国主义干涉”谎言并不奇怪,中共总要找一些理由将苏俄使馆主持暴乱
说成是革命、是反帝。中共后来在广州确定的革命纪念物是革命党颠倒黑白的典型:
大元帅府、黄埔军校、广州国民政府、农民运动讲习所等等旧址,个个是外强压迫
中国,颠覆中国政府的灾难写照,无一不是广东和全国人民的灾难写照,中共为
苏俄策动的暴动建了 “广州起义烈士陵园”作为“光荣的记忆”和“省级重点文物保护
单位”,建了“中苏人民血谊亭”,上铭刻有“中苏两国人民的战斗友谊万古长青”之句,
将此亭定为“革命传统和爱国主义教育”基地。参观革命纪念物的青年们不知道,
这些革命纪念物代表的是外国势力推翻中国政府、运来枪炮祸害中国的历史,当年
的广州暴动是苏俄领事馆直接指挥,从朝鲜调来军队参与的暴乱。暴动者杀害了
数千民众,将广州焚烧的满目疮痍。广州暴动的诉求是什么呢?中共广东省委发布
的下列暴动口号告诉人们真实的广州暴动:
没收一切土地,杀尽地主与富农; 没收一切资本家财产;
杀尽工贼; 农民要求土地,不交租,不纳税,不还债;
没收土地归农民、士兵; 烧尽一切田契、债约;
没收阔佬公馆、洋楼给工人居住; 杀死一切压迫人的人;
杀绝一切豪绅地主恶霸反动派; 赤色恐怖消灭白色恐怖……
其中,“没收一切土地”是暴动领导人张太雷的手笔。
他嫌原拟“没收五十亩以上地主土地”口号不够革命,
在暴动前改为了“没收一切土地”。 [ 21 ]
上述口号说明,苏俄操纵的农民运动、广州暴动等祸乱
之惨烈超过了 闯、献、洪、杨。
点击链接,阅读全书 1,840 页:







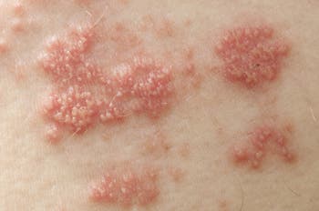
带状疱疹疫苗 不打还好 ......



以下是过去三年美国疾病控制与预防中心 (CDC) 列出的
带状疱疹主要病因 —— 带状疱疹疫苗
# 1:SHIINGRIX(葛兰素史克)ZOSTAVAX(默克)
# 2:炭疽疫苗
# 3:新冠疫苗
这就是为什么带状疱疹在 2021-2024 年成为一种流行趋势
的原因。他们向我们兜售了新冠疫苗,导致我们患上
带状疱疹,然后又利用恐惧心理来推销带状疱疹疫苗。



在接种新冠疫苗后的两年里,
我得了四次带状疱疹,痛不堪言。








https://x.com/toobaffled/status/1968983289609515171









😂 朝鮮攝影師,是如何把普丁拍成金胖子小弟的?? pic.twitter.com/h2QQC4qGK0
— 海外爆料 (@zhihui999) September 18, 2025
🎯 令人毛骨悚然的 苏联简史?? pic.twitter.com/anwNw377jz
— 海外爆料 (@zhihui999) September 18, 2025
